Click on the links below.
As the pregnancy develops, so does the placenta.
It may implant anywhere on the uterine wall.
The position of the placenta is described in relation to its location in the uterus. It may be:

| Fig 1 Fundal placenta |

| Fig 2 Anterior placenta |

| Fig 4 Posterior placenta |
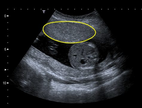
This image shows the anterior placenta, seen as the area of mid range echoes attached to the anterior wall of the uterus.

This image shows the anterior placenta, seen as the area of mid range echoes attached to the anterior wall of the uterus.

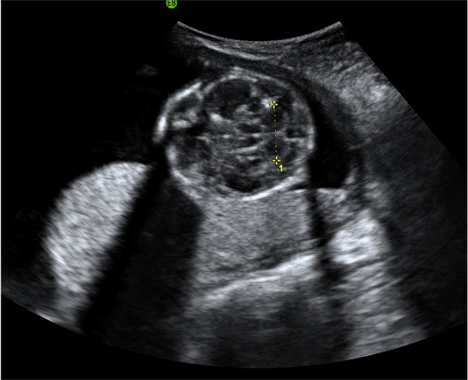
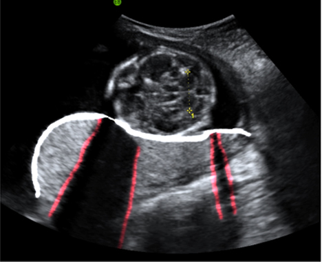
This image shows the posterior placenta - situated on the back wall of the uterus. Notice how the normal homogeneous nature is partly obscured by shadowing from overlying bony structures (in this case, the fetal skull).

This image shows the posterior placenta - situated on the back wall of the uterus. Notice how the normal homogeneous nature is partly obscured by shadowing from overlying bony structures (in this case, the fetal skull).

This image shows a lateral placenta. Notice how the placenta may have lobulated margins but still the same mid range echoes. On this transverse scan, the placenta is on the side wall of the uterus.

This image shows a lateral placenta. Notice how the placenta may have lobulated margins but still the same mid range echoes. On this transverse scan, the placenta is on the side wall of the uterus.
